logo e firenze

La Parodontologia è coordinata dal Dott. P. Cortellini, che si occupa delle visite, della pianificazione terapeutica e della terapia chirurgica. E’ sostenuto dalla Dott.ssa Labriola che si occupa della raccolta dei dati diagnostici e della terapia non chirurgica e da Antonio Fulginiti che si occupa della motivazione, istruzione e igiene orale sopragengivale.

La parodontite è una malattia che colpisce i tessuti di supporto dei denti (osso e gengive). Può manifestarsi con sanguinamento gengivale, ascessi, mobilità e migrazioni dei denti, retrazioni gengivali, alitosi. E’ favorita dalla cattiva igiene orale, dalla familiarità, dal fumo, da alcune malattie come il diabete.
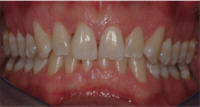
foto caso di parodontite
Caso di parodontite

La terapia causale è la prima, indispensabile, tappa terapeutica. Si fonda sulla ottimizzazione dell’igiene orale domiciliare, sulla correzione degli stili di vita (es. fumo), e sulla rimozione non chirurgica dei microbi dalle superfici radicolari (levigatura radicolare). In alcuni casi specifici, è necessario associare terapia farmacologica sistemica o locale.

foto dopo terapia causale
Dopo terapia causale

A volte si rende necessaria la terapia chirurgica che spazia dalla chirurgia resettiva, mirata ad eliminare difetti ossei e tasche, alla chirurgia rigenerativa, mirata a ricostruire i tessuti di supporto dei denti (osso e attacco), alla chirurgia mucogengivale, mirata a ricostruire i tessuti di rivestimento (gengive).

foto dopo terapia rigenerativa
Dopo terapia rigenerativa

La terapia di mantenimento è la terza, indispensabile componente della terapia parodontale: richiami regolari, individualizzati a seconda delle necessità, di igiene orale, rimotivazione e monitoraggio per mantenere stabili nel tempo i risultati ottenuti con la terapia.

foto 7 anni dopo la terapia
7 anni dopo la terapia


Esempio di chirurgia rigenerativa

foto profondo difetto osseo
Profondo difetto osseo
foto chirurgia rigenerativa
Chirurgia rigenerativa
foto dopo 8 anni: completa guarigione
Dopo 8 anni: completa guarigione


Esempio di chirurgia resettiva

foto situazione clinica iniziale
Situazione clinica iniziale
foto dopo chirurgia resettiva
Dopo chirurgia resettiva


La parodontologia si occupa anche di molte altre problematiche fra cui quelle legate all’estetica, alla funzione fonatoria, alla esecuzione corretta di restauri protesici, alla ottimizzazione di terapie implantari.

Copertura radicolare e modificazione dell’aspetto e del contorno delle gengive.

foto recessione singola
Recessione singola
foto chirurgia
Chirurgia
foto dopo 2 anni
Dopo 2 anni
     
foto recessioni multiple
Recessioni multiple
foto chierurgia
Chirurgia
foto dopo 4 anni
Dopo 4 anni

Rapporti con la terapia conservativa: a volte per effettuare un otturazione perfetta è necessario spostare gengive e osso. Questo accade quando la carie (o una frattura) si estendono profondamente nei tessuti parodontali, avvicinandosi all’osso alveolare (allungamento di corona).

foto carie profonda
Carie profonda
foto chirurgia
Chirurgia
rx dopo terapia
Rx dopo terapia

Ottimizzazione delle ricostruzioni protesiche, mediante il riallineamento dei profili gengivali (chirurgia resettiva) o la ricostruzione dei tessuti in zone dove sono stati persi elementi dentali (correzione di selle edentule).

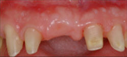
foto sella edentula alterata
Sella edentula alterata
foto chirurgia
Chirurgia
foto sella edentula corretta
Sella edentula corretta