logo e firenze

La Terapia Implantare è coordinata dal Dott. Cortellini e dalla Dott.ssa Stalpers, che si occupano delle visite e della pianificazione terapeutica. La parte operativa specialistica viene delegata alla Dott. Carlo Clauser e al Dott. Roberto Barone. Il Dott. Cortellini si occupa della preparazione dei tessuti dei siti implantari e della rigenerazione ossea, quando necessaria. La Dott.ssa Stalpers pianifica la posizione protesicamente guidata degli impianti e si occupa della terapia ricostruttiva su impianti, coadiuvata dal Dott. Manuel Cortellini.
Lo Studio Cortellini - Stalpers ritiene prioritario salvare gli elementi dentali naturali, quando possibile. Gli impianti, d’altro canto, costituiscono spesso una soluzione ideale per sostituire denti mancanti o denti non recuperabili a causa di patologie gravi o di traumi. La scelta di effettuare impianti è legata ad una grande quantità di elementi clinici che vengono accuratamente valutati. Innanzitutto, vengono valutate le indicazioni alla terapia implantare che viene sempre cimentata con le possibili alternative terapeutiche: il rapporto costo / beneficio e le aspettative del paziente consentono di orientare la scelta. Vengono valutati tutti gli elementi “paziente”, quelli cioè legati allo stato di salute sistemica che possono influenzare il successo della terapia implantare: tra questi il fumo, il diabete, l’osteoporosi, l’assunzione di farmaci. I fattori locali in gioco includono la quantità e la qualità di osso disponibile, i tessuti molli, i rapporti con i denti antagonisti e altri.

Situazioni in cui la terapia implantare è spesso una soluzione ottimale sono rappresentate dalla perdita di denti per traumi o per malattia cariosa.

Immagini di incisivi fratturati per traumi, uno preparato per una capsula, l'altro estratto e sostituito con un impianto
Incisivi laterale e centrale fratturati per traumi. L’incisivo centrale, recuperabile, è stato preparato per una capsula; l’incisivo laterale è stato estratto e sostituito con un impianto.

Immagini del caso completato con due corone singole, una su dente e una su impianto
Caso completato con due corone singole, una su dente naturale e una su impianto.


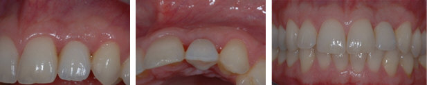
Perdita di un incisivo per trauma, con grave deficit funzionale ed estetico.
Impianto associato a innesto gengivale.

Immagini che mostrano il ripristino della funzione e dell'estetica dopo terapia implantare, paradontale ed estetica
Ripristino della funzione e dell’estetica dopo terapia implantare, parodontale e protesica.

Nei pazienti ammalati di parodontiti, la terapia implantare viene effettuata solo quando la malattia parodontale è stata curata ed il paziente è in grado di mantenere lo stato di salute parodontale. Il posizionamento di impianti in pazienti con parodontite non trattata implica un rischio molto elevato di perimplantite, malattia simile alla parodontite, che comporta la progressiva distruzione dell’osso attorno all’impianto fino alla sua perdita.

Dente molare, supporto di protesi, da estrarre in paziente con parodontite
Radiografia del caso
Dente molare, supporto di protesi, da estrarre in paziente con parodontite.
La perdita di questo dente causerà un grave deficit funzionale.
Il risultato ottenuto con terapia implantare e protesica, precedute e supportate dalla terapia parodontale
Radiografia
La terapia implantare e protesica, precedute e supportate dalla terapia
parodontale, hanno consentito il ripristino della funzione masticatoria.

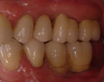
La terapia implantare può anche rappresentare una ottima soluzione per casi di edentulia totale, in alternativa alla protesi totale rimovibile, con ovvi vantaggi funzionali e di confort.

Paziente con edentulia in arcata superiore risolta con terapia implantare
Paziente con edentulia in arcata superiore, risolta con terapia implantare
Radiografia del caso clinico al termine del lavoro implantare e protesico
Radiografia del caso clinico al termine del lavoro implantare e protesico
Il sorriso del paziente
Il sorriso del paziente