logo e firenze

La Terapia Conservativa è coordinata dal Dott. Mollo, che si occupa delle visite, della pianificazione terapeutica e della parte operativa. Il Dott. Mollo è supportato dal Dott. Toffenetti, dalla Dott.ssa Corradeschi e dal Dott. Bonaccini.
La terapia conservativa si occupa del trattamento di lesioni cariose, abrasioni dentali, piccole fratture dentali, deficit estetici e si avvale di metodiche dirette e indirette.
La carie è una malattia multifattoriale causata da microbi presenti nella placca batterica, favorita dalla cattiva igiene orale, da una alimentazione ricca di zuccheri e da alcuni fattori predisponenti, quali la composizione dello smalto, la morfologia dentale e il Ph salivare. Il trattamento della malattia cariosa si basa sul miglioramento dell’igiene orale, sul controllo della dieta, sull’uso di prodotti a base di fluoro e sulla cura delle lesioni attive (carie) mediante terapia conservativa. La carie non trattata può estendersi e interessare la polpa dentale causandone la necrosi. La conseguenza clinica può essere il granuloma e l’ascesso.
Le abrasioni dentali cervicali (in prossimità della gengiva) sono causate da metodiche di igiene orale troppo aggressive e non corrette. Se non intercettate possono diventare molto profonde, fino ad interessare la polpa del dente e a indebolire il dente favorendone la frattura. Si associano spesso a retrazione gengivale (recessione).
Le fratture dentali sono causate da traumi esterni o masticatori. Possono essere limitate a piccole porzioni della corona dentale o interessare anche la radice, a volte in modo così severo da causare la perdita del dente.
Le otturazioni e le ricostruzioni dirette vengono effettuate utilizzando prevalentemente resine composite.

Rx di carie su molare e premolare e preparazione cavità
Carie su molare e premolare (vedi rx)
e preparazione delle cavità.
Ricostruzione indiretta del molare (intarsio) e diretta del premolare (resina composita)
Ricostruzione indiretta del molare
(intarsio) e diretta del premolare
(resina composita.)
Controllo radiologico e clinico dopo 5 anni
Controllo radiologico e clinico
dopo 5 anni.
Foto di abrasioni cervicali su incisivi, canini, premolari
Abrasioni cervicali su incisivi, canini e premolari.
Foto di isolamento del campo con diga di gomma
Isolamento del campo con diga di gomma.
Foto di abrasioni ricostruite con resina composita
Le abrasioni ricostruite con resina composita.
Foto del caso clinico dopo 4 anni
Il caso clinico dopo 4 anni.

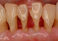
Foto di gravi lesioni sugli incisivi
Gravi abrasioni sugli incisivi.
Foto di isolamento del campo con diga di gomma
Isolamento del campo
con diga di gomma.
Ricostruzione con resina composita
Le abrasioni ricostruite
con resina composita.

Quando indicato, i nostri conservatori utilizzano intarsi (restauri indiretti) in resina composita o materiali ceramici.
Tutte le metodiche ricostruttive vengono effettuate con metodiche adesive, mediante l’utilizzo di barriere per isolare il campo operatorio (diga di gomma) e rispettando i più moderni canoni della minima invasività e del risparmio della sostanza dentale.

Foto di lesioni cariose profonde trattate con un intarsio e con resina composita
Lesione cariosa profonda sul secondo premolare, trattata con un intarsio.
Le lesioni cariose sul primo premolare e sul molare sono state trattate con resina composita (tecnica diretta).

Particolare attenzione viene posta al trattamento della “malattia cariosa” soprattutto nei pazienti con elevata cariorecettività (vedi “prevenzione”) e alla modificazione delle metodiche di igiene orale non corrette. Le metodiche di igiene non corrette possono infatti esitare da un lato in una insufficiente rimozione della placca batterica, dall’altra in una eccessiva aggressività con conseguenti abrasioni vestibolari, accompagnate anche da recessioni del margine gengivale. Gli obiettivi sono dunque “riparare” e “ricostruire” porzioni di denti perse o distrutte dalle patologie per ottimizzare funzione ed estetica, ma anche intercettare e mettere sotto controllo le cause delle patologie.

Foto di trauma con frattura del frammento incisale Foto di trauma con frattura del frammento incisale Foto del frammento cementato sotto diga Foto del risultato ottenuto
Trauma con frattura del frammento incisale.
Il frammento recuperato viene cementato sotto diga con ottimi risultati estetici
.
Foto di trauma con frattura del frammento incisale Foto di ricostruzione con resina composita sotto diga Foto di ricostruzione con resina composita sotto diga Foto risultato ottenuto
Trauma con frattura del frammento incisale.
La porzione fratturata viene ricostruita con resina composita sotto diga con ottimi risultati estetici.

I denti, anche vitali, possono cambiare colore a causa di discolorazioni o di pigmentazioni, con conseguenti problemi estetici.
Lo sbiancamento di denti vitali discolorati o pigmentati può essere effettuato attraverso varie metodiche che si avvalgono di mascherine confezionate appositamente per il paziente e di vari prodotti “sbiancanti”, sotto attento controllo professionale.

Foto di denti discolorati Foto di mascherine per il trattamento Foto del risultato dello sbiancamento
Denti discolorati, prima e dopo il trattamento di sbiancamento.